|

نشریه پرواز -
آذر 1390-
شماره 28
اکثر ما در
زمانی که در آینه به دندان های خود نگاه می کنیم فقط به فکر این هستیم که درد
نگیرند واحیاناً در فکر زیبایی آنها هستیم، اما مهم تر از ظاهر دندان ها توجه به
وضعیت آنها و البته لثه ها است.
پلاک ها مجموعه ای از میکروب ها هستند که حالت ژله ای دارند ودر اثر رعایت نکردن
نظافت دهان به مرور زمان روی دندان ها چسبیده و باعث تحریک لثه ها می شوند و بعد از
مدتی با خونریزی در اطراف یک یا چند دندان خود را نشان می دهند. تا اینکه چند سال
بعد دندان ها دچار مشکل می شوند و لق شده وحتی می افتند؛ این حالت زمانی اتفاق می
افتد که بافت نرمی که دندان ها را به استخوان متصل می کند به مرور زمان خورده شود.
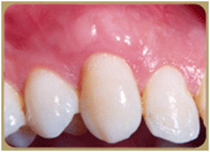
مرحله اولیه بیماری لثه که با تورم و خونریزی همراه است "اماس لثه" نام دارد.
دندانپزشکان معمولاً از تغییر رنگ لثه ها این بیماری را تشخیص می دهند اما اکثر
مردم توانایی تشخیص آن را ندارند.
مشکلات لثه در بین سالمندان شایع تر است. در این دوران ترشح بزاق کاهش می یابد و به
این ترتیب با کتری ها راحت تر می توانند خود را به دندان بچسبانند. ولی اگر هر فرد
روزانه 2 مرتبه دندانهای خود را مسواک بزند به سادگی می تواند از این بیماری
پیشگیری کند. زمانی که فردی به بیماری لثه مبتلا شود باکتریها می توانند از طریق
رگهای خونی اطراف دندانها در سراسر بدن حرکت کنند و فرد را در خطر ابتلا به دسته
گسترده ای از بیماریها و مشکلات قرار دهند . در اینجا به چند مورد از آنها اشاره می
کنیم:
دیابت : به نظر می رسد تورم لثه ها باعث بروز بیماری تغییرات شیمیایی خاصی در بدن
می شود که تاثیر انسولین در بدن را کمتر می کند. به این ترتیب افراد مبتلا به دیابت
بهتر است علاوه بر رعایت رژیم غذایی خود با مراجعه به دندانپزشک بیماری های احتمالی
لثه خود را درمان کنند.
آرتروز: به تازگی دانشمندان آلمانی متوجه شدند افرادی که لثه های متورم دارند با
احتمال 50% بیشتر از افراد سالم به این بیماری دچار می شوند . البته در صورتی که
فرد بیمار لثه های خود را درمان کند به تدریج علایم بیماری آرتروز هم برطرف می-شود
.
زوال عقل: محققان کالج کینگ در لندن معتقدند بیماری های لثه می توانند باعث افزایش
تورم در مغز شده و منجر به ترشح پروتیینی خاص در مغز شوند. این پروتیین "آمیلویید"
نام دارد و با حمله کردن به سلول های مغزی به آنها آسیب می رساند.
|